
Лучкина Елена Валерьевна
«Стоматологическая студия “Эстетика” - это часть моей жизни и все моё внимание направлено на то, чтобы наша команда и наши пациенты остались друзьями на всю жизнь. И пусть стоматология - это наша профессия, мы не забываем, что в центре нашего внимания люди. Планируя открытие клиники ,я придерживалась цели создать современную, семейную стоматологию с женским акцентом, в целях преображения улыбок в спокойной и непринужденной обстановке с бережным уходом с помощью нежных прикосновений.
![]() |
Стаж работы более 9 лет |
![]() |
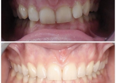
Специалист в создании эстетической улыбки |
![]() |
Специалист в исправлении прикуса у взрослых и детей |
![]() |
Работает на самолигирующих и лигатурных брекет-системах, в том числе металлических, сапфировых, керамических |
![]() |
Специалист по исправлению прикуса с помощью элайнеров, использует съемные и несъемные ортодонтические аппараты в целях исправления прикуса |
![]() |
Применяет в практике ортодонтические микроимплантаты в качестве абсолютной опоры |
Отправьте заявку и наш специалист свяжется с
Вами или позвоните нам по тел: 8 (831) 274-66-64
















