
Отбеливание

Отбеливание системой последнего поколения Zoom - 4
В качестве активного вещества используется 25% гель пероксида водорода – в сочетании со специальной лампой «Zoom WhiteSpeed»
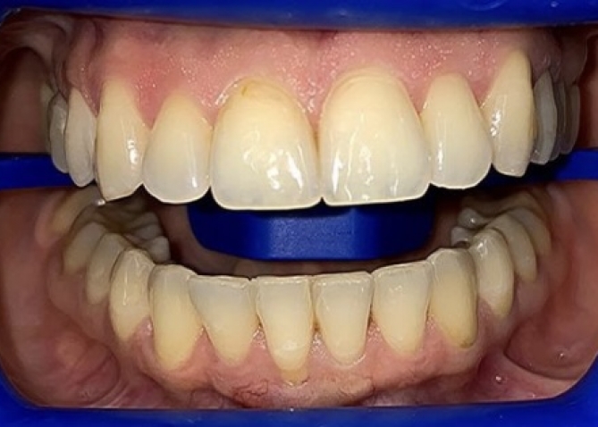
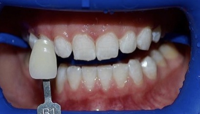
Система Zoom -4 позволяет отбелить зубы на 8 тонов.
Для стабильного и долгосрочного результата ,рекомендовано закрепить отбеливание проведённое в клинике (спустя 14 дней) процедурой домашнего отбеливания в индивидуальных каппах. (Дополнительно изготовление капп и приобретение домашнего набора)
В таком случае результат будет радовать 1-3года.
Как это работает
В работе лампы заложен принцип светодиодной технологии с регулировкой интенсивности потока света. Пошагово действие лампы выглядит так:
- Выделение активных ионов. В состав геля из набора Zoom-4 входит катализатор. Свет лампы активирует его, что и приводит к эффективному выделению активных ионов.
- Обесцвечивание пигмента.
- Усиление эффекта. Достигается путем дополнительной дестабилизации углеродных связей за счет воздействия синего цвета лампы на молекулу пигмента. Таким образом, пероксид еще эффективнее воздействует на пигмент, лучше и быстрее обесцвечивает его.
Подготовка к процедуре:
обязательно провести профессиональную гигиену за 1-3 дня до отбеливания.
Этапы отбеливания:
- Фотопротокол «до».
- Изоляция всех мягких тканей (слизистой полости рта) специальными средствами защиты.
- Нанесение геля снижающего чувствительность на 5-7 минут ( Relief ACP - Его запатентованная формула снижает чувствительность зубов с помощью азотнокислого калия с глубоким долгосрочным снижением чувствительности за счет аморфного фосфата кальция и фторида, который активирует гидроксиапатит и фторапатит, закупоривая дентинные канальцы).
- Нанесение геля для отбеливания три сеанса по 15 минут( каждый сеанс происходит замена старой порции геля на новую) итого 45-50минут.
- Снятие средств защиты. Фотопротокол «после». В целом на процедуру следует отводить 1,5часа.
Рекомендации после отбеливания зубов
Первые две недели после процедуры отбеливания зубов являются наиболее важными для сохранения, закрепления и углубления эффекта.
1. В течение 48 часов после отбеливания зубов необходимо соблюдать так называемую «прозрачную» диету, т. е. полностью отказаться от употребления в пищу любых красящих продуктов:
- Чая
- Кофе
- Шоколада
- Красного вина, соков, морсов
- Лимонадов, содержащих красители (кола)
- Красящих ягод и фруктов, а также кондитерских изделий, их содержащих • Свеклы, моркови, иных красящих овощей
- Красящих соусов: соевого, кетчупа, аджики, горчицы и т.д.
Впоследствии, чтобы сохранить результат отбеливания зубов, следует также по возможности ограничить в своем рационе эти продукты, а в случае употребления их в пищу – стараться найти возможность почистить зубы после еды, чтобы минимизировать нежелательное воздействие на зубы.
2. В течение двух суток после отбеливания постараться также полностью отказаться от курения любых табачных изделий: сигарет, сигар, трубки; в крайнем случае – заменить их электронной сигаретой. В последующие две недели после отбеливания максимально сократить количество выкуренных сигарет.
3. После отбеливания может повысится чувствительность зубов. Для уменьшения чувствительности можно использовать пасты для снятия чувствительности – на основе кальция или фтора. Какие лучше – индивидуально вам посоветует врач. Чувствительность уменьшится уже на третий день их применения.
4. После процедуры отбеливания необходимо строго соблюдать гигиену полости рта: использовать флосс (зубную нить), качественную зубную щетку, пасту, полоскания, ирригатор. Такой осознанный подход позволит поддержать наилучший эстетический эффект отбеливания зубов максимально долгое время. Гигиенические процедуры желательно проводить после каждого приема пищи, минимум – дважды в день.
5. Каждые 6 месяцев проводить процедуру профессиональной чистки зубов.
OPALESCENCE BOOST 40% (США)
Отбеливание на 6 тонов.
Opalescence Boost активируется химически, то есть не требуется свет для отбеливания. Благодаря смешиванию “из шприца в шприц” материал активируется непосредственно перед применением. Активированная 40% перекись водорода наносится на зубы.
Три сеанса по 20минут ( каждый сеанс наносится новая порция геля).
Для стабильного и долгосрочного результата, через две недели рекомендовано домашнее ночное отбеливание в индивидуальных каппах.
| Наименование услуг | Цена в руб. |
|---|---|
| Профессиональное отбеливание зубов с использованием системы " ZOOM" 4 поколения (одна процедура) | 36000 |
| Профессиональное отбеливание зубов с использованием системы "Opalescence" (одна процедура) | 16000 |
| Профессиональное отбеливание зубов с использованием системы "Opalescence" (одного зуба) | 1000 |
| Каппа для отбеливания | 5000 |
| Отбеливающая система для домашнего отбеливания | 10000 |
| Обучение профилактическим мероприятиям по отбеливанию зубов | 1750 |
Отправьте заявку и наш специалист свяжется с
Вами или позвоните нам по тел: 8 (831) 274-66-64





































