
Протезирование

Протезирование
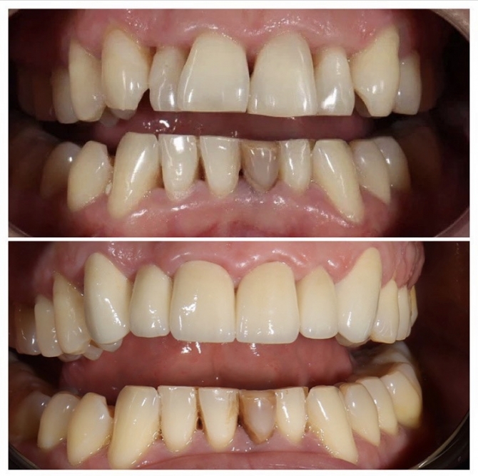
Протезирование – это одно из самых необходимых для пациентов направлений при лечении. Отсутствующий зуб – это не только дискомфорт при общении, но и сложности в процессе жевания. Если случилось, что ваш родной зуб был потерян (удален) не медлите с протезированием. Это позволит вам сохранить рядом расположенные зубы.
Существует достаточно много видов протезирования. Какой подойдет пациенту, врач определит в зависимости от конкретного случая, количество отсутствующих зубов, так же финансовая возможность пациентов.
Виды протезирования
-
Коронка: восстанавливает целостность поврежденного зуба.
-
Коронка на имплантате.
При отсутствии зуба восстановить целостность зубного ряда можно с помощью имплантата и установки коронки на него.
-
Вкладка (относится к микропротезированию)
С помощью вкладки восстанавливают анатомическую форму жевательных зубов, заменяя композитный материал на керамику.
-
Мостовидный протез
Применяется при отсутствии зуба в зубном ряду и является альтернативным вариантом имплантации. Значительный минус при сравнении с имплантатом – это то, что для “моста” обточки поддаются опорные (соседние) от отсутствующего зуба.
-
Виниры
Это популярный способ добиться красивой и ослепительной улыбки за счёт керамических накладок на зубы.
-
Съёмное протезирование
Такой способ протезирования предлагается пациентам в случаи отсутствия большого количества зубов. За счёт индивидуальной съёмной конструкции ортопед поможет вам вернуть эстетическую красоту улыбки и восстановить жевательную функцию зубного ряда. Данный вид протезирования довольно популярен среди пациентов, так как удобен, надёжен и доступен по цене.
| Наименование услуг | Цена в руб. |
|---|---|
| Восстановление зуба виниром EMAX | 19500 |
| Восстановление зуба виниром,коронкой (рефрактор) | 28000 |
| Восстановление зуба коронкой временной (прямой метод) | 4000 |
| Восстановление зуба коронкой временной (лабораторный метод) | 9000 |
| Восстановление зуба коронкой постоянной металлокерамической | 12990 |
| Восстановление зуба коронкой постоянной безметалловой из диоксида циркония или EMAX | 19500 |
| Восстановление зуба вкладкой постоянной безметалловой из диоксида циркония или EMAX | 14000 |
| Восстановление цельнолитой культевой вкладки | 5100 |
| Изготовление культевой вкладки из диоксида циркония или EMAX | 13000 |
| Подготовка корневого канала для фиксации культевой вкладки | 3000 |
| Протезирование частичными или полным съемным пластиночным протезом из базисной пластмассы ОЛАКРИЛ (1 челюсть) | 20000 |
| Протезирование частичными или полным съемным пластиночным протезом из базисной пластмассы VERTEX (1 челюсть) | 20000 |
| Полный съемный протезCANDULOR с гарнитуром зубов VITAMFT(1 челюсть) | 34000 |
| Съемный протез с удалением остаточного мономера по технологии IVOBASEcгарнитуром зубов АНИС | 30000 |
| Протезирование частичными съемными пластиночными протезами для временного замещения 1-3 отсутствующих зубов ( иммедиат-протез) | 6990 |
| Протезирование съемными бюгельными протезами с кламмерной фиксацией (1 челюсть) | 39000 |
| Протезирование съемными бюгельными протезами с замковой фиксацией 1 челюсть) | 41000 |
| Протезирование зуба с использованием имплантата STRAUMANN коронкой постоянной металлокерамической с винтовой фиксацией на титановом абатменте | 49000 |
| Протезирование зуба с использованием имплантата STRAUMANNкоронкой постоянной из диоксида циркония с винтовой фиксацией на титановом абатменте | 56000 |
| Протезирование зуба с использованием имплантата STRAUMANNкоронкой постоянной из диоксида циркония с винтовой фиксацией на циркониевом абатменте | 68000 |
| Протезирование зуба с использованием имплантата OSSTEM коронкой постоянной металлокерамической с винтовой фиксацией на титановом абатменте | 27000 |
| Протезирование зуба с использованием имплантата OSSTEMкоронкой постоянной из диоксида циркония с винтовой фиксацией на титановом абатменте | 35000 |
| Протезирование зуба с использованием имплантата OSSTEMкоронкой постоянной из диоксида циркония с винтовой фиксацией на циркониевом абатменте | 39000 |
| Протезирование зуба с использованием имплантата STRAUMANNиндивидуальным титановым абатментом( без учета коронки) | 5500 |
| Протезирование зуба с использованием имплантата OSSTEM индивидуальным титановым абатментом ( без учета коронки) | 5500 |
| Протезирование зуба с использованием имплантата временной коронки с винтовой или цементной фиксацией (1 единица) | 7100 |
| Протезирование зуба с использованием имплантата IMPRO коронкой постоянной металлокерамической с винтовой фиксацией на титановом абатменте | 31000 |
| Протезирование зуба с использованием имплантата IMPRO коронкой постоянной из диоксида циркония с винтовой фиксацией на титановом абатменте | 33000 |
| Протезирование зуба с использованием имплантата MIS коронкой постоянной металлокерамической с винтовой фиксацией на титановом абатменте | 34000 |
| Протезирование зуба с использованием имплантата MIS коронкой постоянной из диоксида циркония с винтовой фиксацией на титановом абатменте | 38000 |
| Протезирование зуба с использованием имплантата MIS коронкой постоянной из диоксида циркония с винтовой фиксацией на циркониевом абатменте | 42000 |
Отправьте заявку и наш специалист свяжется с
Вами или позвоните нам по тел: 8 (831) 274-66-64








