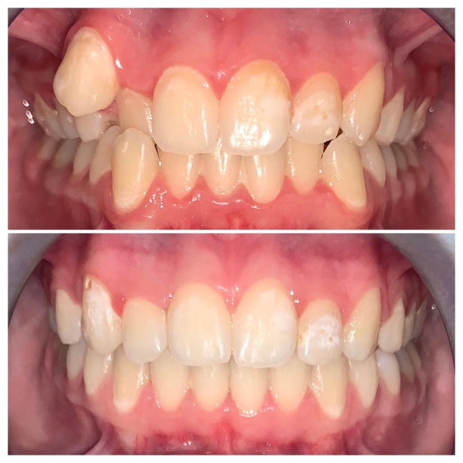
Самый современный метод исправления прикуса на сегодняшний день. Если искревление зубного ряда незначительное, то ортодонт порекомендует вам пройти лечение с помощью прозрачных капп – элайнеров. Такой способ ортодонтического лечения имеет ряд преимуществ:
- Эстетика (менее заметны на зубах),
- Возможность снять при приёме пищи или на время тренировки или важного совещания,
- 100% результат и точный прогноз конечного результата.
Во время планирования Вашего лечения с помощью специального программного обеспечения будет распечатан 3D макет зубов под действием капп, и вы увидите какой будет ваша улыбка в конце лечения.
Перед тем как начать ортодонтическое лечение, необходима консультация врача-ортодонта, на которой он подберет для Вас оптимальный вариант лечения с учётом всех индивидуальных особенностей (сложность аномалии и финансовой возможности), расскажет о противопоказаниях, если такие имеются.



























